Dr. Michael Nabil

Dr. Michael Nabil

Dental Surgeon & endodontist

Class of 2025

Now working as Operator at MICKY clinic

Professional Skills

Clinical Skills

1 Oral Surgery
2 Endodontics
3 Prosthodontics
4 Cosmetic Dentistry

Digital Skills

1 Dental portfolio creator full coding
2 dental website full coding
3 Digital Documentation
4 Microsoft PowerPoint (professional)
5 Microsoft Excel

Soft Skills

1 Pediatric Patient Management
2 Patient Communication
3 Treatment Planning
4 Time Management
5 Team Leadership
6 Emergency Response

Education & Timeline

Egyptian Russian University Faculty of Dentistry

Graduated: 2025

Master's Degree

Master in Oral & Maxillofacial Surgery-for test

(2027)

Career Timeline

2020

Started Faculty of Dentistry

2025

Graduated with Excellence

2025-2026

Internship at University Hospital

2027

Started Working at MICKY Clinic

2028

Opened Private Practice

Courses & Certifications

DENTAL IMPLANTOLOGY - 30H CREDIT

DENTAL IMPLANTOLOGY - 30H CREDIT

ADVANCED ENDODONTICS - 40H

ADVANCED ENDODONTICS - 40H

AESTHETIC DENTISTRY CONFERENCE 2024

AESTHETIC DENTISTRY CONFERENCE 2024

DIGITAL SMILE DESIGN WORKSHOP

DIGITAL SMILE DESIGN WORKSHOP

Clinical Cases

Before & After Gallery

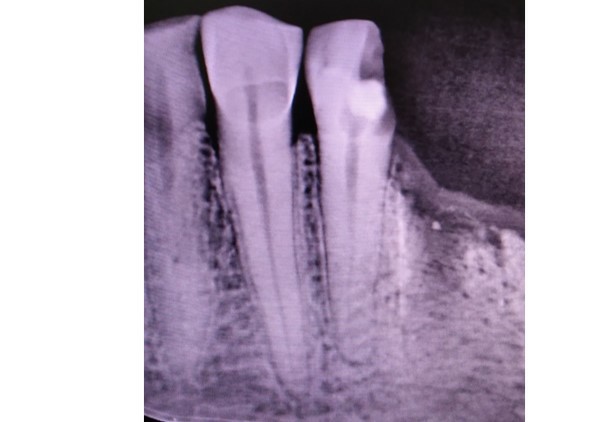
Endodontics

Before After
Before
After

Root canal treatment with crown restoration

Before After
Before
After

Complex endodontic case

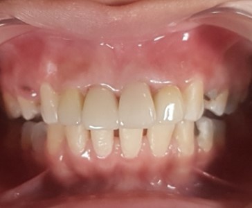
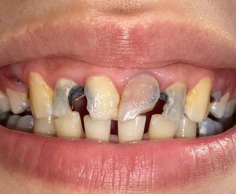
Crowns & Bridges

Before After
Before
After

Full E-MAX 4 crowns restoration

Before After
Before
After

Full E-MAX 4 crowns restoration

Latest Articles

Insights and Knowledge

Get In Touch

Let's connect and collaborate